A Biomimetic Dentist Dedicated to the Doctor-Patient Relationship

Meet Dr. Fusco

Dr. Fusco and family on the set of The Chew.

As of February 13th, 2024 our new email address is: drfusco@rvcdentist.com 

Personalized Care

Artisan Veneers: Receive handcrafted, artisan veneers from our local lab, or if you choose, our lab in Turin, Italy.                      
Reviews: Read through testimonials from past patients to learn about what to expect from your visit.

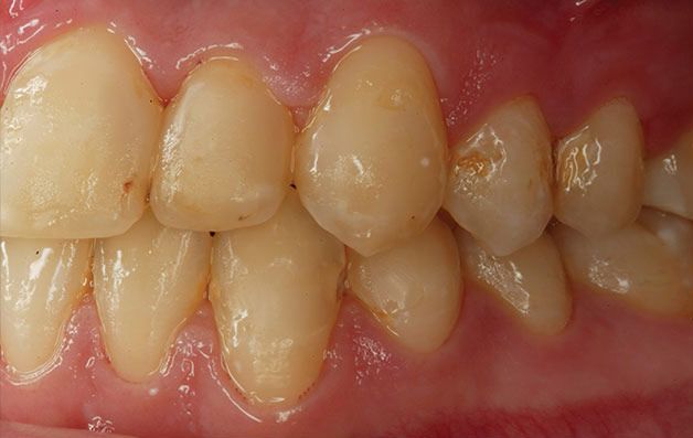
Biomimetic Dentistry: Ensure that your restorations work with, instead of against, your natural smile. 

Patient Forms

If you're planning on visiting us for the first time, you can expedite your appointment by filling out our patient forms in advance.

Meet Our Dentist Joseph P. Fusco, DDS, MAGD

After graduating from Ohio State University with a degree in Nutrition, Dr. Fusco earned his Doctor of Dental Surgery degree from the Baltimore College of Dental Surgery. He completed his General Practice Residency at the Staten Island University Hospital.

To maintain his status as a "Master Dentist," Dr. Fusco regularly attends continuing education opportunities. He is proud to be affiliated with:

  • American Dental Association
  • Academy of General Dentistry (Master status)
  • American Academy of Cosmetic Dentistry
  • Academy of Microscope Enhanced Dentistry
  • Academy of Biomimetic Dentistry
  • Society of Color and Appearance in Dentistry
  • International Academy of Adhesive Dentistry

Dr. Fusco

Affiliations

affiliation badges

Our Mission Statement

"For 30 years, our office has enjoyed treating each of our patients as extended family. Your dental care is provided with thoroughness in a quiet and clean environment. We strive to design a care plan that is comprehensive and as conservative as possible." Dr. Joseph P. Fusco

Our Patient Results

yellowed teeth
Before


 
white teeth
After


 
*All photographs that you see are taken by Dr. Joseph Fusco

"​The Michaelangelo of Dentists" 5-Star Google Reviews

1

Donna Moran

2021

Google logo

Dr Joe is the Michaelangelo of dentists. He pays great attention to detail and has state of the art equipment. Staff is awesome and you really feel they care. Going to the dentist has always been an anxiety inducing experience until Dr Joe. It's a pleasant and painless experience. He's got a real gentle touch. Wish I found him years ago.

View On Google
1

Barbara DeLuca

2020

Google logo

its been over 10 years since I had cosmetic veneers done with Dr Fusco. I still get compliments from people on " what beautiful teeth I have"... his work was a dream come true for me! I've also had all my traditional dental work done by him, and he is excellent. And his staff is top notch as well, from front desk to dental assistant

View On Google

Dedicated to Your Safety

Our state-of-the-art office in Nassau County, NY, is committed to patient safety. We use cutting-edge sterilization and PPE protocol to sanitize our treatment rooms between each appointment, ensuring they are clean and prepared for the next patient.
 
hand santizer
Hand sanitizer is always available.
plexiglass barrier
We've installed plexiglass barriers for your safety and ours.

Rooms Are Cleaned Between Appointments

After every treatment, the operatories and reception room are fogged with Hypochlorous Acid, an ionized water solution that kills virus on contact.

Air Is Filtered

In order to reduce aerosol generated by the Ultrasonic Scaler, the Extraoral Suction Device is positioned close to the mouth. It collects all aerosol through a HEPA filter and UV-C light.

Our Dental Specialties

Biomimetic Dentistry

The primary focus of biomimetic dentistry is to preserve your natural teeth and to treat dental issues before they require invasive treatment. With his biomimetic approach to dentistry, Dr. Fusco can improve your oral health while eliminating the need for more expensive dental procedures.

Explore Biomimetic Dentistry

Veneers

Veneers can conceal chips, cracks, gaps, and misaligned teeth for a picture-perfect smile. Our practice works closely with an artisan lab in Turin, Italy, to meticulously design and craft custom porcelain veneers, ensuring a comfortable fit that blends in with the tooth's natural structure.

Explore Veneers

Teeth Whitening

Stained and discolored teeth can lead to embarrassment and cause you to hide your smile when it's time to take a picture. Dramatically transform the appearance of your teeth in a single appointment at our Long Island, NY, dentist's office with professional teeth whitening.

Explore Teeth Whitening

Flexible Financing

credit card icon

Our friendly office staff will gladly file all the necessary paperwork with your insurance provider so that you can make the most of your benefits.

Transforming Smiles

Dr. Fusco can improve the appearance of your smile with cosmetic dentistry.

Dr. Fusco on Late Night with David Letterman 1986

Dr. Fusco performed a "stupid human trick" on Late Night with David Letterman in 1986.
Joseph P. Fusco, DDS, MAGD

Joseph P. Fusco, DDS, MAGD


Dr. Joseph Fusco and his team of compassionate dental professionals offer the community of Long Island, NY, world-class dental care using the latest technology. Dr. Fusco is a member of several professional organizations, including:
  • The American Academy of Cosmetic Dentistry
  • The Academy of General Dentistry
  • The Academy of Biomimetic Dentistry
  • The Academy of Microscope Enhanced Dentistry

To schedule an appointment, contact us online or call (516) 766-6767 today.

Get In Touch Today

Rate, Review & Explore

Social Accounts Sprite